Mpox: What We Do and Don't Know About Recent Outbreaks

June 28, 2022

This article was originally published on May 24, 2022 and has been updated by the authors.

On May 7, 2022 the world was alerted to a confirmed case of mpox in the United Kingdom. Cases have since cropped up across the globe, from Germany and Spain, to the U.S. and Canada. As of June 22, the World Health Organization (WHO) confirmed over 3,400 mpox cases in 50 countries. WHO is working with these countries, and others, to expand surveillance and provide guidance for monitoring and managing these outbreaks. But what exactly is mpox, and should we be concerned about the latest pathogen to capture headlines?

Endemic to Central and West Africa, mpox was first discovered in 1958 in monkeys kept for research in the Democratic Republic of the Congo (DRC). The first human case was not reported until 1970 in the DRC. Since then, cases have appeared throughout Africa and beyond, including Singapore, the U.K, Israel and the U.S. Most infections occur in people who live, have travelled to, or have been in contact with individuals or animals from endemic regions. For example, in 2003 over 70 people in the U.S. fell ill with mpox after handling prairie dogs that were co-housed with infected Gambian pouched rats and dormice imported from Ghana. However, infections don’t always follow this transmission pattern, as evidenced by the current spread of mpox among people who have not travelled to endemic countries or been in contact with those known to be infected with mpox. Investigations into the source of these outbreaks and key drivers of transmission are ongoing.

This article summarizes our current understanding of mpox, including available prevention, vaccination and treatment strategies, as well as questions that remain.

Reservoirs and Transmission 

Despite its name, monkeys are not the main reservoir of mpox virus, the causative agent of this disease. Rather, the virus is believed to mainly reside in rodents, including squirrels and rats. While several rodent species are suspected to be susceptible to mpox, the virus has only been isolated from wild animals on 2 occasions, including a rope squirrel in 1985 in the DRC and a dead infant mangabey monkey in Cote d’Ivoire in 2012.  

Transmission of mpox virus to, and between, humans occurs when an individual contacts an infected animal, person or contaminated materials. In addition to gaining entry to the body via broken skin (including wounds invisible to the naked eye), the virus can travel in large respiratory droplets that enter the body via the mouth, nose or eyes. Because these droplets are weighty, and often fail to fly more than a few feet, prolonged contact is required for efficient human-to-human spread. As a result, healthcare workers and individuals who share a household with an infected individual are more at risk. 

In terms of the 2022 outbreak, cases of mpox have been concentrated in men who have sex with men (MSM) (i.e., people assigned male at birth). To date, it is unclear, and remains under investigation, whether mpox can be transmitted specifically through sexual transmission routes. In any case, this transmission pattern coupled with mpox’s spread in non-endemic countries has led many to wonder if, like SARS-CoV-2, the virus has mutated to allow for easier human-to-human transmission. Mpox is a type of DNA virus, which detects and repairs mutations better than RNA viruses like SARS-CoV-2, and thus is less likely to quickly acquire mutations that promote its spread. However, new research suggests the mpox virus has acquired an average of 50 new mutations compared to strains detected from 2018-2019—roughly 6-12 times more than the expected 1-2 mutations per year. Researchers think this "accelerated evolution" could potentially be tied to adaptation of the mpox virus to host immune responses. The pattern of the mutations suggest there may have been sustained, undetected human-to-human transmission of the virus for several years. More research is required to understand if, and how, changes in mpox virus underly the influx in cases across the world. 

Signs, Symptoms and Diagnosis

Mpox is a self-limiting disease that typically resolves within 2-4 weeks. With a viral incubation period of between 5 and 21 days, there is variation in when an individual may experience symptoms. In the early stages, there is nothing symptomatically notable about monkeypox compared to many other infections, like the flu. Patients may experience fever, headache, muscle aches and swollen lymph nodes, among other symptoms. After a few days a rash begins to form, first blooming on the face before spreading to other body regions, including the palms of the hands and soles of the feet. The rash lesions progress through a well-described set of stages, starting as macules (flat lesions), progressing to pustules (raised lesions filled with yellowish fluid) and ending in scabs, which eventually fall off. Not everyone experiences the same type or progression of mpox symptoms: some people may develop a rash prior to developing other symptoms, while others may only experience a rash.

Visual examples of mpox lesions
Mpox lesions progress through a well-described set of stages, from macules to scabs.
Source: CDC

Mpox symptoms mirror those of smallpox, though are less severe, and most people recover without issue. That being said, with a fatality rate ranging from 1 to 10%, mpox can be serious. Infection severity depends on a variety of factors, including viral strain, access to medical care, extent of exposure and health status (e.g., whether a patient is immunocompromised). There are currently 2 known viral clades, the more virulent Congo Basin clade (up 10% mortality) and the less virulent West African clade (up to 1% mortality). So far, all confirmed mpox cases in the May 2022 outbreak have been tied to the West African clade

Diagnosing mpox can be a challenge, given the symptoms mirror those of many other diseases. To diagnose suspected cases of mpox, clinicians rely on PCR analyses (performed at Laboratory Response Network laboratories in the U.S. and globally) of material from skin lesions. 

Prevention, Vaccination and Treatment

As with all infectious diseases, the key to preventing mpox is to limit the chances of contacting the pathogen. The Centers for Disease Control and Prevention (CDC) advises that people avoid contact with animals, dead or alive, that may harbor the virus, particularly in areas where monkeypox is a known concern. Educating people about proper handling of potentially infectious animals, such as in regions where the bush meat trade is prevalent, can also limit exposure. To that end, following routine hygiene practices (e.g., handwashing) after touching an infected/potentially infected person or animal is an effective mitigation tactic. Isolating infected individuals, as is being done for confirmed cases in the current outbreak, is also essential to halting the spread.

In addition to the behavioral practices outlined above, vaccines are valuable tools for preventing and reducing the severity of viral infections. According to the WHO, the smallpox vaccine is 85% effective in preventing mpox. That is because the mpox virus hails from the Orthopoxvirus genus in the Poxviridae family, which also includes the viruses that cause smallpox and cowpox. Though routine smallpox vaccination is no longer performed, ending in the afterglow of the worldwide vaccine campaign that successfully eradicated smallpox, the U.S. Food and Drug Administration (FDA) has approved a live-attenuated vaccine, trademarked as JYNNEOS, that protects against infection smallpox and mpox in adults 18 years of age or older.

There is no specific treatment for mpox. Treatment regimens often center around alleviating symptoms and ensuring patients are as comfortable as possible. Still, there are several antivirals that may be beneficial for monkeypox, and which the CDC authorizes for controlling a mpox outbreak. One treatment, called tecovirimat (TPOXXTM), has been approved to treat smallpox in the U.S., Canada and Europe. It functions by interfering with a viral protein (p37) necessary for production of mature, enveloped virions. As of May 19, 2022, TPOXXTM is approved for both oral and intravenous administration, thus expanding its potential utility.

Mpox Virus Structure and Replication Cycle

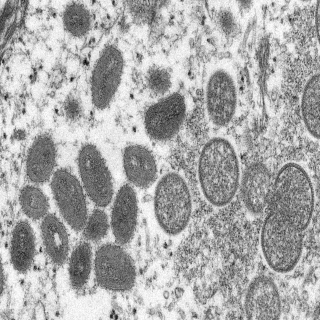
Mpox virions
Electron microscope image of mpox virions from a human skin sample. On the left are mature, oval-shaped virus particles, and on the right are the crescents, and spherical particles of immature virions.
Like all poxviruses, mpox virions are large, enveloped and “brick-shaped." Encapsulated within each virion is a core containing a linear, double-stranded DNA genome and enzymes required for virus uncoating and replication. At the onset of infection, poxvirus particles attach to the host cell membrane through various viral-host protein interactions. Notably, while other mammalian DNA viruses replicate in the nucleus, poxviruses replicate in the cytoplasm in small compartments known as 'factories', formed from the host rough endoplasmic reticulum (ER). Though they come wielding their own transcriptional machinery, poxviruses rely on host ribosomes to translate mRNAs into the structural components of the virion, as well as proteins that dismantle the factory’s ER membrane. Such dismantling gives rise to small, membranous crescents that grow to encapsulate the genome of assembling virions. Progeny poxviruses are decorated with additional membranes from the trans-Golgi network before exiting the cell via plasma membrane fusion.

Outlook

The uptick in mpox cases has prompted one major question: Does mpox have the potential to become pandemic in nature? In 2020, researchers from the Institut Pasteur discussed efforts to assess mpox cases in the DRC after the global eradication of smallpox and subsequent cessation of the smallpox vaccine in the 1980s. They discovered that the new cases were limited to small outbreaks which did not spread to the entire population. As a result, mpox was thought to be a limited risk for public health. Other studies indicated that the reproductive number [Ro] was less than 1, which is generally considered to be the epidemic threshold.  

However, the researchers stated that a full analysis did not consider that almost the entire DRC population was immunized against smallpox, which provided 85% coverage against mpox. After a reanalysis of historical data, they believed that “had the DRC population been fully susceptible to mpox, mpox would have triggered an epidemic where the average number of cases per infectious individual would have been 1.46-2.67.” Moreover, if population immunity dropped to 10-25%, this could allow for 1 infected individual to cause 1.10-2.40 new cases and trigger an epidemic. Thus, based on these analyses, the researchers posited that many western countries may be vulnerable to a mpox pandemic because smallpox vaccination stopped in 1980 or earlier, which meant that immunity was low and declining. 

Could the current outbreak of mpox be tied to diminished population immunity in non-endemic countries? Possibly. Mpox is an evolving threat that, according to the WHO, "requires our collective attention and coordinated action." Continued analyses of the virus and its transmission patterns will be key for managing the disease. Additionally, ensuring that endemic countries (where mpox has been a long-overlooked problem until its emergence in other, largely high-income countries) are integrated into disease control efforts will be critical for mitigating—and preventing—the spread of mpox.

Author: Madeline Barron, Ph.D.

Madeline Barron, Ph.D.
Madeline Barron, Ph.D., is the Science Communications Specialist at ASM. She obtained her Ph.D. from the University of Michigan in the Department of Microbiology and Immunology.

Author: Rodney Rohde, Ph.D., SM(ASCP), SVCM, MBCM, FACSc

Rodney Rohde, Ph.D., SM(ASCP), SVCM, MBCM, FACSc
Rodney Rohde, Ph.D., is the Associate Director of the Translational Health Research Initiative at Texas State University.